Dr. med. Mag. theol. Ryke Geerd Hamer

The Five Biological Laws
presented by Dr. med. Ryke Geerd Hamer
at the
First International Congress on Complementary and Alternative Medical Cancer Treatment
May 14/15, 2005 Madrid, Spain
translated by Caroline Markolin, Ph.D.
Introduction
Dear Friends, Esteemed Colleagues:
It is a great honor for me to present you with the greatest gift the Gods have ever given to mankind. I am the president of this congress, but at the moment detained in a French prison because of the “instigation to practice the German New Medicine“. These are the words used in the official charges and the verdict. After 8 ½ months in custody a detention review hearing will finally take place, one day after my 70th birthday.
Back in 1986 my approbation was revoked, because of my “refusal to renounce the iron law of cancer and my non-conversion to traditional medicine“.
For 24 years now I have been chased, threatened, prosecuted and thrown into jail twice, although I have done nothing wrong – except to rediscover this wonderful New Medicine with its 5 Biological Laws of Nature, a medicine that has always existed and will always exist. This, Ladies and Gentlemen, is the extent of my crime!
This congress calls itself a congress for “alternative medicine”. I affectionately call it alter-naive medicine, because by nature any alternative medicine can only exist as long as an understanding of the true contexts and meanings is suppressed. However, generally speaking, one refers to an “alternative medical therapy“. Let me say a few words about this. As you will see in a moment, so-called diseases as we have understood them until now do not exist. Rather, they are Meaningful Special Biological Programs of Nature. And they do not have to be treated with “therapy“, but must be left to run their course because they always have a biological purpose.
The crux of our thinking lies in the fact that, for 1500 years now, in Europe we have practiced a medicine of symptoms. Everything has diligently and religiously been categorized as “benign“ or “malignant“: Cancer is malignant, so are microbes, so is fever or fatigue; and all supposedly so-called “symptoms of disease“ were malignant and had to be eradicated – like a sinful action.
Since nobody knew anything and nobody knew of any causal therapy, approximately 1000 different therapies existed. But whenever Mother Nature had finished her work of healing – despite our erroneous attempts at pseudo-therapeutic intervention – then we were quick to praise the outcome as our own “success“. How wise we thought we were – just like the sorcerer’s apprentice!
Before I introduce you to the New Medicine, or rather, the German New Medicine – let me take a few moments to explain the name: I changed the name from New Medicine into German New Medicine purely for the reason that currently some 15 different alternative therapeutic approaches also call themselves New Medicine because the name cannot be protected. I had to find a new one. And I decided to call it the German New Medicine because it was discovered in Germany, the nation of thinkers and poets, of musicians, inventors and explorers, and because the German language is the mother of almost all European languages. The result of this is that, apart from being charged with sectarianism, I am now unfortunately also accused of anti-Semitism.
The Five Biological Laws of the German New Medicine®
Both conventional and alternative medicine consider what we commonly call a disease as a result of an „error” of Nature, as a failure of the so-called “immune system”, as something “malignant” that is trying to destroy the organism and therefore has to be fought with all possible medical-military strategic means available. In 24 years of profound and intense work on this subject I have moved light years away from this notion.
It is, of course, not easy to change our traditional biological-medical thinking straight after the first foray into this new dimension. In the following, I will strive to give you a general overview in the short time available to me.
The German New Medicine (as it is now called), which I discovered in 1981, is an exact natural science based on five biological laws. It does not require any hypothesis and, in rigorous scientific terms, is reproducible for any patient case. This was demonstrated and officially certified on September 8/9, 1998 at the University of Trnava (Slovakia).
In biological-medical terms, the German New Medicine identifies a living organism as an inseparable unity of the psyche, the brain and the organ. All processes of the psyche and the organ are coordinated from the brain. Essentially, the brain is the main computer of our organism, the psyche the programmer. Body and psyche together are basically the “data receiver” of the computer brain (both in optimal programming mode and also when errors occur). By no means is the psyche the sole programmer of the brain. In cases of injuries the organ can also induce an automatic response in the brain and in the psyche. In this sense, the German New Medicine distinguishes itself fundamentally from all other medical schools of thought, in particular from those of standard medicine.
The German New Medicine is an empirical natural science based on 5 biological laws which have always existed and which always will exist. I merely rediscovered these natural laws. They are applicable in equal measure to human beings, animals and plants, even to single-celled creatures – in fact, they apply to the entire cosmos. And, naturally, they are valid concerning all so-called diseases as part of a two-phased Meaningful Special Biological Program of Nature (MSBP).
Lacking the medical and clinical relevance of these 5 biological laws prevented us from being able to understand, classify, and correctly assess one single disease. We were unable to understand cancer and its contextual implications because we considered cancer to be incurable and merely concentrated on eliminating the symptoms on the organ. Nor were we able to understand the so-called infectious diseases, because, instead of recognizing them as healing symptoms, we considered them as aggressive diseases with microbes out to destroy us.
Equally ignored were the “Law of the Two Phases of Every Disease“, the psychological level, the cerebral level as well as the significance of left- and right-handedness. Let alone the “epileptic or epileptoid crisis“ and the so-called “Syndrome” which is the most frequent cause of death.
All these new ways of understanding and of curing a disease are based on understanding the Iron Rule of Cancer, the First Biological Law, and the so-called DHS = Dirk-Hamer-Syndrome, named after my son Dirk whose unexpected death was the cause why I developed testicular cancer.
The Iron Rule of Cancer is called “iron” because it is a biological law. The fact that a child must always have a father and a mother is an example of a biological law; there must always be two participants involved in creating a child. In the German New Medicine we have 5 biological laws that are quasi iron.
THE FIRST BIOLOGICAL LAW THE IRON RULE OF CANCER
The Iron Rule of Cancer has 3 criteria:
THE FIRST CRITERION
Every Meaningful Special Biological Program (MSBP) originates from a DHS (Dirk Hamer Syndrome), which is a serious, acute-dramatic and isolative conflict shock that catches us completely off guard. The conflict shock occurs simultaneously
1. in the psyche
2. in the brain
3. on the corresponding organ.
This picture shows how a goalie is caught “on the wrong foot“. He looks puzzled at the ball which he expected in the other corner. He can no longer get off his “wrong foot”.
This is the typical situation of a DHS. The individual is caught “on the wrong foot”.
A DHS is a serious, acute-dramatic, isolative conflict shock that catches the individual “on the wrong foot“. However, with the DHS the individual gets a chance to make up for the mishap and to cope with the unexpected situation. At the moment of the DHS the shock triggers the onset of a Meaningful Special Biological Program that runs synchronously on the level of the psyche, the brain and the corresponding organ. This ”Special Biological Program” is both visible and measurable.
Exactly at the moment when the DHS strikes, the patient experiences a prolonged stress phase, i.e. he has cold hands and cold feet, he dwells day and night on the conflict content trying to find a resolution. Typically, he can’t sleep, and if, then only during the first part of the night, he has no appetite, he loses weight. That is what we call the conflict active phase.
We see that, contrary to ordinary problems in our daily lives, these biological conflicts launch the patient into a continuous stress tonus with very specific symptoms that cannot be missed.
This condition will only change when the patient resolves the conflict. With the resolution of the conflict the patient changes into a rest tonus because now the psyche has to recover. Typically, the patient feels sluggish and tired but released. He has good appetite, his body temperature rises, often accompanied by fever and headaches. In this phase the patient sleeps well, but usually only after three o’clock in the morning. This is what we call the conflict-resolution phase.
We humans can suffer many conflict shocks without falling ill but this is only the case if we had time to be prepared for the conflicts. At the moment of the DHS something else can happen. At the same instant tracks are laid on which the disease development “runs” its course. Tracks are additional conflict aspects in connection with a DHS, i.e. circumstances that are associated at the moment of the DHS. Just as in a still photo taken with a flash, but without being aware of it, when the DHS occurs, human beings (as well as animals) pick up the smallest accompanying details such as sounds, smells, sensations, or tastes and store these imprints for life. If, at a later time, the patient sets on such a track, the whole conflict can become re-activated resulting in a relapse.
Together with the main DHS-track five or six “side tracks” (accompanying circumstances that are considered important) can be set simultaneously. It is important to understand that one can also set from one of the sidetracks on to the main track. That’s why we call them “tracks”.
We human beings regard these tracks as “pathological“. We consider them as allergies that have to be fought or we call them “hay fever”, “asthma”, “neurodermatitis” etc. and randomly label with these terms different conflicts in different phases with all their physical and cerebral symptoms.
Example: In a young mother, an amniocentesis carried out in order to determine proof of paternity, triggered a mother-child conflict resulting in cancer of the mammary glands. During the intervention itself the woman was consumed with great fear of potential damage to her unborn child. Although the baby was born completely healthy, the mother experienced the entire paternity proceedings on this established conflict track. Each time she received a letter from the lawyer or the courts, she fell back on this track and the tumor continued to grow. Thus, the DHS does not only comprise the moment of the acute dramatic conflict shock which “catches us on the wrong foot” but also the content of the conflict, which determines where the Hamer Focus appears in the brain and which organ is affected by cancer, necrosis or failure. However, as we can see, much more can happen in the exact second the DHS takes place: in this moment the tracks for future repeated episodes are laid.
THE SECOND CRITERION
The biological conflict determines at the moment of the DHS the location of the so-called Hamer Focus (HH) as well as the location of the cancer or cancer-equivalent disease on the corresponding organ.
At the moment of the DHS a Meaningful Special Biological Program (MSBP) is switched on that runs synchronously in the psyche, the brain and on the organ. In theory, we use these three levels as a helpful tool for diagnosis and therapy. In reality these three levels constitute one single unit.
Each conflict has a very specific content that is defined at the moment the DHS occurs. The conflict content is determined “in association", which means that it happens unconsciously, bypassing our consciousness. We think that we think. In reality, the conflict has already associatively hit a fraction of a second before we even began to think.
The unexpected shock leaves a mark in the brain, which is visible on a computer tomogram of the brain. Such a ringed lesion is called a Hamer Focus (German: Hamerscher Herd). The term was actually coined by my opponents who mockingly named the ring formations "the dubious Hamer Foci”. These Foci look like a set of concentric rings, similar to what we observe when skipping a stone on water.
Every conflict is linked to a specific organ as well as to a very specific part of the brain from where the process on the organ level is controlled and directed.
The changes in the brain are visible at the very second the DHS occurs.
Hamer Focus (HH) in ring form configuration at the beginning of the healing phase
The larger the HH, the larger is the tumor, the necrosis or the cell alteration on the corresponding organ. The more intensive the conflict, the faster does the tumor grow or the larger is the necrosis, the osteolysis or the cell alteration with those cancers that do not display cell augmentation.
During this phase there is temporary swelling of the brain which can cause problems, e.g. if the conflict has lasted too long, or when the brain edema is located in an unfavorable location, or when the HH shows an intra- and perifocal edema. The edema on the organ and on the correlating HH in the brain grows particularly large with a simultaneous kidney collecting tubule-water retention conflict, which we call “The Syndrome”. At this point the HH requires more room, consequently indenting surrounding brain tissue or pushing it out of the way.
In the brain both phases (conflict active phase and resolution phase) have the HH at the same location. They are, however, in different conditions: During the conflict active phase the HH appears as a sharp ring configuration while during the resolution or healing phase the HH appears as swollen, edematous and dark. At the end of the healing phase so-called glia, harmless brain connective tissue is stored at the site participating in repairing the HH.
The white dense glia HHs, which can be easily made visible in a computer tomogram using iodine contrast substance, indicate a repair process on the HH in the brain and are not at all a reason to panic.
After the healing phase the HH shows as a harmless scar – the end result of a successfully completed healing process. The glia-rings are unfortunately misinterpreted as “brain tumors”, as glioma, astrocytoma, oligodendroglioma, glioblastoma etc. and are cut right out to the disadvantage of the patient. Since brain cells can no longer divide after birth brain tumors do not really exist!
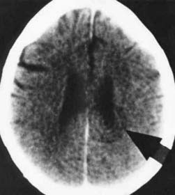
Right arrow: HH in right temporal lobe Condition after heart attack (territorial conflict)
Left arrow: testicular carcinoma (profound loss conflict) for right testicle (already in healing phase)
In this example, the patient, a farmer, had suffered a DHS six months earlier, when his only son had a serious motorcycle accident. The son spent a long period of time in intensive care, and the patient thought that his son would remain physically disabled. But his son fully recovered. Four weeks after the son returned to the farm, his father suffered a heart attack with dizziness, headaches and balance disturbances. He suffered the heart attack after he had resolved the conflict.
In the animal world, a male deer can also suffer a biological conflict, e.g. a territorial conflict with angina pectoris during the conflict active phase, when his opponent drives him out of his territory. The ulceration in the coronary arteries that starts as soon as the conflict takes place widens the coronary vessel, which allows the double or triple amount of blood being pumped to the heart. This enables the deer to wait for the right moment to fight his opponent and win his territory back. He only gets this vigor and strength because the Special Biological Program is activated. Without it, he would not be able to succeed. Were the deer be given tranquilizers, it would never be able to get his territory back.
For a man his “territory” could translate into his business, his girlfriend, his family or his job. We humans have several shared territories – even a car can be a “territory“. With human beings the heart attack is only noticeable when the conflict activity lasted at least 3-4 months. However, if the conflict active phase lasted more than 9 months the heart attack is usually fatal.
This is different from the myocardial infarct (controlled from the cerebral medulla). Here the conflict content is experienced as: “I am completely overwhelmed”. The conflict active phase manifests itself as necrosis of the myocardium. During the healing phase and specifically during the epileptoid crisis, which indicates a crucial turning point, the epileptic heart attack or myocardial infarct is initiated.
THE THIRD CRITERION
The development of the MSBP on all three levels, from the DHS to the conflict resolution (CL) and the epileptoid crisis (EC) at the height of the healing phase and the return to normalization always runs synchronously.
The development of the Meaningful Special Biological Program occurs simultaneously on all three levels. If the conflict becomes more intense, then, for example, the tumor growth advances faster. If the conflict loses intensity, the intensity diminishes on all other levels. If the conflict is resolved, then the resolution phase takes place on all three levels. If there is a relapse, the relapse happens on all three levels.
The Conflictolysis (CL) is a very distinctive point since every disease has its very specific healing symptoms that only commence with the resolution of the conflict. If we ask the patient about his conflict, we know the psychological level; if we have a computer tomogram of the brain, we know the brain level. On the organ level, however, we see, for instance, a paralysis, neurodermatitis, diabetes, etc.
What is fascinating about the German New Medicine is that we are not only able to conclude from the brain scan the type of biological conflict, the conflict content, which organ is involved and whether cell multiplication or cell loss is taking place, but we can also establish whether the conflict is still active (ca-phase) or has already been resolved (pcl-phase).
THE SECOND BIOLOGICAL LAW
The law of the two phases of all MSBP provided there is a resolution of the conflict
This natural law turns our entire medical understanding of diseases upside down, since ALL diseases run in this two-phased pattern. Unaware of these relationships, we have in the past identified a few hundred “cold diseases“, and a few hundred “warm diseases“. Patients with “cold diseases” had cold skin, cold extremities, were in protracted stress, lost weight, had difficulty falling asleep or suffered from sleep disturbances. Patients with “warm diseases” had warm or hot extremities, often fever, good appetite, and considerable fatigue.
With the so-called “cold diseases“ the subsequent healing phase was overlooked or viewed as a “disease” in itself. With the so-called “warm diseases” – which are in fact already healing phases following a conflict active phase – the cold phase was overlooked and also viewed as a disease in itself. Now we understand that what was previously considered as two “diseases” is actually one single Special Biological Program (MSBP).
One could ask why physicians haven’t yet recognized this two-phased pattern if it is so obvious. The reason is simply that conflicts are not always resolved. If the conflict cannot be resolved the disease remains in one phase, in other words, the individual stays in conflict activity, wastes away and dies of enervation or cachexia.
In retrospect, traditional medicine has not been able to understand one single “disease”.
The diagram above shows that with the DHS the normal day-and-night rhythm switches into lasting sympathicotonia. The conflict resolution (CL) initiated the phase of lasting vagotonia. The vagotonic phase is interrupted by the so-called epileptic or epileptoid crisis which occurs at the deepest point of the healing phase. This crisis (a sympathicotonic spike) indicates a crucial turning point during the phase of vagotonia.
Every disease that has a conflict resolution involves a conflict active phase and a healing phase. And every healing phase – if not interrupted by a relapse – has an epileptic or epileptoid crisis, i.e. a turning point occurring at the deepest point of vagotonia.
This epileptic or epileptoid crisis is an event that Mother Nature has practiced for millions of years. It is a crisis, which runs simultaneously on all three levels. The purpose of this crisis at the highest point of the healing phase is to get the organism back to normality. What we generally call an epileptic seizure with muscle convulsions is only a specific type of epileptic crisis, which occurs after resolving a motor conflict.
An epileptoid crisis occurs in every disease but with some variations in each. “Epileptoid” means that there are no tonic-clonic muscle-cramps as in motor conflicts but other symptoms. Each type of biological conflict or disease has its own specific type of epileptoid crisis.
Mother Nature created quite a trick for this meaningful event. In the middle of the healing phase, the patient all of a sudden suffers a recurrence of his conflict. In other words: he experiences the conflict for a short time (as a conflict active relapse) all over again, including cold hands, cold sweat and all the symptoms of the conflict active stress phase. This also explains the strong angina pectoris pain during the heart attack.
The epileptoid crisis often presents a real clinical challenge as, for example, the lysis of pneumonia, the heart attack following a territorial conflict, the right cardiac infarction with pulmonary embolism, the loss of consciousness following a separation conflict, or diabetes and hypoglycemia.
For example, a patient suffering a cardiac infarction with a preceding conflict activity of more than 9 months has only a small chance of survival with standard medical treatment. Not one single patient – so we learned from our Vienna heart attack study - survived who was conflict active over a territorial conflict for more than 9 months of average conflict activity. With the so-called “Syndrome” (water-retention) involved the situation is different. Today, we can reduce the risks by treating the patient already 3-6 weeks prior to the epileptic crisis, i.e. prior to the expected heart attack.
A most important criterion in the German New Medicine is the handedness of the patient. Without establishing whether the patient is right-handed or left-handed we cannot work in the GNM. Besides identifying the laterality, it is equally important to know the patient’s age, gender and hormonal situation,
e.g. if a woman is postmenopausal, on the birth control pill, if her ovaries were removed or treated with radiation, if the patient is on chemotherapy, is on hormone drugs, etc.
The easiest way to establish our laterality is the clapping test = clapping as one would when applauding ….
…. the upper hand is the leading hand that determines our biological laterality. If the right hand is on top, the person is right-handed; if the left hand is on top the person is cerebrally left-handed. This test is essential in order to identify on which brain hemisphere a person operates. There are many re-trained left¬handers, who think that they are right-handed.
Left- and right-handedness starts in the brain, more precisely in the cerebellum. In the brain stem laterality is insignificant. In other words, the development of the cerebellum starts already with the first cell division and with it the differentiation of right- and left-handedness. Compared to right-handedness, the left-handedness transfers the conflict to the opposite brain hemisphere. The left-handers are differently “poled“ from the psyche to the brain.
In the German New Medicine, neglecting to ask a patient whether he is right- or left-handed is considered a big mistake, because the laterality is of utmost importance to understanding the correlation of the conflicts to the brain (HH) and to the cancer or necrosis on the organ. Our laterality determines the “path” on which the conflict corresponds with the brain as well as which type of “disease” a patient can suffer with what type of conflict.
In the cerebellum, for example, the conflicts impact each hemisphere in correspondence to a certain conflict theme. For example: when a woman is right-handed, a mother-child-worry conflict always impacts on the right hemisphere of the cerebellum affecting the glands of her left breast. Even if she suffers another conflict for another child or a mother-child conflict with regards to her own mother, the conflicts still impact on the same are of the cerebellum.
But we have to make a distinction for the case that a mother no longer or only partly views her child as a “child” but more as a partner. In this scenario the conflict would impact the opposite brain hemisphere of the cerebellum and the breast cancer would manifest itself on the right breast, because the left side of the cerebellum is linked to the right side of the body, the “partner” side. Not only a spouse, friend, father or brother is considered a partner but also a sister, the mother-in-law, the neighbor, etc.
right cerebellum for the left breast (glands)
mother/child - or child/mother-worry conflict for right-handed woman.
An example: A mother suffered a mother/child-worry conflict because her child ran into a car and is seriously injured. The mother blames herself (“Had I only kept him by my side.“). From this moment on the patient has cold extremities, she is unable to sleep, she loses her appetite, she loses weight and dwells constantly on the conflict, even more so if she is not able to talk about her conflict.
During this conflict active phase, while the mother constantly thinks of what had happened, we see in her left breast (provided she is right-handed) a multiplication of breast gland cells, commonly called breast cancer. In addition to the cancerous growth we find in the brain in the area (“computer” relay) of the right cerebellum, which controls the left breast, a sharp ring configuration as an indication of conflict activity, in other words, as a sign that the Meaningful Special Biological Program is active.
The so-called breast gland tumor continues to grow as long as the conflict is active. The resolution of the conflict can only occur when the child recovers. It is at this moment that the breast tumor stops growing.
Patient with adenoid breast cancer
a) mother/child conflict or
b) child/mother conflict
a) mother/child conflict or
b) child/mother conflict
In comparison: the conflict content of the so-called intra-ductal mamma carcinoma with its control centre in the cerebral cortex is a separation conflict with ulceration in the milk ducts during the conflict active phase, and swelling and redness of the breast during the healing phase.
When two conflicts impact in the cerebellum, one in each hemisphere (for the right and for the left breast), then we speak of a “Schizophrenic Cerebellum Constellation”. This “Constellation” results in severe emotional disturbances of paranoid-delusional nature, however, without affecting logical thinking. Patients describe this state of mind as feeling emotionally burned out, feeling void of any emotions, being unable to have any feelings (so-called “asocial paranoia”).
What is commonly coined schizophrenia is an “emergency response of the organism” when the individual sees no way of resolving the conflicts. It has already been hypothesized that schizophrenia (“split brain/ thoughts”) has something to do with the two brain hemispheres not vibrating in the same rhythm. But nobody ever considered that this is caused by two different active biological conflicts although, with hindsight, it is so apparent.
Despite the fact that most psychiatric clinics are equipped with CT-scanners, nobody ever noticed anything. Why? Because a psychiatrist doesn’t know anything about brain scans and a neuro-radiologist is not interested in biological conflicts.
Typical Schizophrenic Cerebellum Constellation
The ontogenetic system of Meaningful Special Biological Programs (MSBP) of cancer and of cancer-equivalent diseases
Embryology generally divides the development of the embryo into three so-called germ layers: the endoderm (inner germ layer), the mesoderm (middle germ layer) and the ectoderm (outer germ layer), which develop already in the initial stages of embryo growth. All organs derive from these three embryonic layers. Every cell and every organ of our body can be ascribed to one of these germ layers.
The 3rd biological law of the German New Medicine classifies all so-called diseases according to their relation to a specific germ layer. By classifying all types of growths, swellings, and ulcers according to their germ layer correspondence we find that all “diseases” that relate to the same germ layer share special features (concerning the mesoderm we have to differentiate between the cerebellum-controlled and cerebral medulla-controlled mesoderm)
As a result of evolution, to each of these germ layers belongs
• a specific part of the brain
• a specific type of conflict
• a specific location in the brain
• a very specific histology
• specific germ layer related microbes In addition: every so-called disease or MSBP has, in evolutionary terms, a very specific biological meaning.
All cells and organs that derive from the inner germ layer have their brain relay or control center from which they are directed in the brain stem, the oldest part of the brain.
There is a clear order to their location, for they begin dorsally on the right with diseases of the mouth and the nasopharyngeal area and then continue counterclockwise along the gastro-intestinal canal, ending with the sigma and the bladder.
Histologically, and without exception, all carcinoma are adeno-carcinomas. All organs that derive from this germ layer generate cell augmentation during the conflict active phase with the formation of compact tumors, e.g. in the liver, in the colon, in the lungs.
All cells and organs that derive from the outer germ layer have their control center in the cortex of the cerebrum, which is the youngest part of the brain.
In the case of cancer, they all generate cell loss in form of ulcers in the conflict active phase or biologically meaningful functional changes (partly improvement of function, partly impairment of function, e.g. motor paralysis, diabetes, etc.). During the healing phase the ulceration is being replenished and the organ function re-established.
Concerning the middle germ layer we differentiate between an old and a new group.
All cells and organs that belong to the new group of the middle germ layer have their control center in the cerebral medulla. In the case of cancer, these cells and organs generate necroses or holes in the tissue during the conflict active phase, e.g. in the bone, the kidney, or the ovaries.
Cerebrum-controlled mesodermal organs make necroses or osteolyses during the conflict active phase. During the healing phase the lost tissue is replenished. Here we can clearly see that cancer is not the result of wildly proliferating cells but rather a meaningful and even predictable process in full accordance with ontogenesis.
orange/yellow-striped = cerebellum MESODERM
orange/red-striped = cerebral medulla MESODERM
red = cerebral cortex ECTODERM
This is the reason why the origin and pathogenesis of cancerous diseases could not be classified and understood. The Iron Rule of Cancer and the Law of the Two Phases of every disease provides us for the first time with a systematic order that applies to all of medicine.
(The lower part of the diagram refers to the diagram of the 2nd Biological Law) The diagram shows two different groups: The red cerebrum group generates cell loss during the conflict active phase (ca-phase). During the healing phase the necroses or ulcera are replenished with swelling and the formation of cysts.
The yellow old brain group generates the formation of tumors during the ca-phase. During the healing phase the tumor is being decomposed with the help of myco-bacteria (Tbc) provided that they were already present when the DHS occurred.
In medicine this ontogenetic system, specifically that of tumors, is comparable to the significance of the periodical system of elements in the natural sciences. It provides a comprehensive contextual overview for all medical disciplines.
THE FOURTH BIOLOGICAL LAW
The Ontogenetic System of Microbes
Until now, microbes have been considered as the cause of so-called infectious diseases, something entirely understandable because microbes are always present in infectious diseases. However, this view is incorrect, for all infectious diseases are preceded by a conflict active phase, which we have been overlooking.
The point in time that triggers the activity of microbes is not determined by exterior factors (as erroneously assumed) but is rather controlled entirely from our computer brain.
Microbes are not our enemies but our loyal helpers. They start to work on our orders, on the orders of our organism, directed from our brain, and each germ layer-related organ or tissue is in correspondence with specific germ layer-related microbes.
When the functions of our organs were programmed into the different brain relays, the functions of microbes were also programmed into our computer brain. Microbes are all more or less specialists not only in terms of the organs they work on but also with regards to how they work.
According to the Law of the Two Phases of all diseases (provided there is a resolution to the conflict), all microbes “work” without exception only in the second or healing phase, starting with the conflict resolution
(CL) and ending with the completion of the healing phase. Myco-bacteria (Tbc) start already multiplying at the moment of the DHS but start their work only when the conflict has been resolved. The body produces the exact amount of microbes necessary to break down the now superfluous tumor.
The classification of microbes is in full accordance with their ontogenetic age: Fungi and myco-bacteria (Tbc), the oldest microbes, only work on brain stem-controlled endodermal organs. Myco-bacteria (Tbc) work also on cerebellum-controlled old brain mesodermal organs Bacteria work on cerebral medulla-controlled new brain mesodermal organs. Viruses (if they exist at all) are the youngest microbes that work only on cerebral cortex-controlled organs.
We considered microbes as something “malignant” that has to be eradicated. This was pure nonsense because we badly need these microbes. In fact, we need all microbes available in our environment because if microbes such as myco-bacteria (Tbc) are absent, for instance due to hygienic reasons, our tumors cannot be decomposed during the healing phase – with disastrous consequences for a number of tumors.
Let’s look at the example of a thyroid carcinoma: if the conflict has been resolved and the tumor cannot be broken down, more amounts of thyroxine are being produced, a useless process, biologically speaking. Or a colon carcinoma: if there are no myco-bacteria present, the growth can suddenly cause considerable complications and has to be surgically removed.
Now we understand that microbes play a vital role within the Meaningful Special Biological Program. Microbes developed with and for us. They are an essential component of Nature’s laws. Since we were not aware of this, we blindly tried to eradicate these beneficial helpers with antibiotics or sulfonamides.
The so-called “immune system“, commonly viewed as our body’s line of defense in destroying “malignant“ cancer cells and “malignant“ microbes, just as in a major battle, does not exist in that sense. Acting on our brain’s orders, the allegedly pathogenic microbes become a-pathogenic microbes that retreat in our organism and are only re-activated if they are needed.
Pretty much everything, which we had been doing as conventional physicians, was nonsense. Because Nature’s natural laws cannot function if we, as the sorcerer’s apprentices, randomly eliminate some factors.
The notion of microbes or metastases crawling around in our blood vessels (where they were never found) is nonsense.
The tale of metastases is an unproven and unprovable hypothesis. To this day there has never been a single observation of a cancerous cell in the arterial blood of a cancer patient. If cancer cells were able to “swim” to distant organs, they would have to do so via the arterial blood stream because venous and lymphatic vessels only run to the centre, i.e. the heart.
In the German New Medicine, so-called „metastases“(which do not exist) are often the result of the panic suffered through a diagnosis shock (iatrogenically induced) when a new DHS triggers a new biological conflict.
Let’s take as an example the case of the patient with breast cancer whose child was seriously injured after having been hit by a car. Let’s assume that after three months in hospital the child has finally recovered. In a right-handed woman a tumor will now be detectable in her left breast. Now she is told that her entire breast has to be removed otherwise there would be the danger that the malignant cancer cells will “spread” into the immediate environment or cause metastasis in a distant organ. In order to prevent this from happening, Chemotherapy should be administered as soon as possible in order to kill these malignant cancer cells.
Faced with this devastating diagnosis as well as with the planned intervention and the negative prognosis, the young mother can suffer the following new conflict shocks:
1 a “disfigurement conflict” resulting in a melanoma at the site of the amputated breast
2 a “self-devaluation conflict” (“I am useless there”, “I am worthless there”) resulting in osteolyses in the area of the amputated breast
3 an “attack conflict” against the left side of the chest where the operation will take place resulting in a pleura mesothelioma of the left pleura.
4 a “death fright conflict” resulting in lung nodules (adeno-carcinoma)
The melanoma and the lung nodules are soon noticeable. Since the child recovered, the “distant metastasis” in the right lateral cerebellum, the so-called Hamer Focus, is also healing! The osteolyses as well as the pleural effusion are also only noticeable in the healing phase after the conflict has been resolved.
We see that the metastasis fairy tale is an unproven and unprovable theory. So is the myth that cancerous cells change into another cell type while traveling through the blood (where it has never been observed). For example, a colon cancer cell that forms a cauliflower-shaped compact tumor in the colon (endoderm), supposedly travels all of a sudden to the bones (mesoderm), where the cells now cause the loss (!) of bone tissue (osteolysis). This theory is pure nonsense and nothing short of medieval dogmatism.
What is disputed is not the fact of a secondary or third carcinoma but the assessment and interpretation of these facts.
The same applies to so-called tumor markers. Since conventional medicine makes no difference between the conflict active phase and the healing phase of a disease, markers were developed which show an increased value in the conflict active phase or, at another point in the healing phase. As a result correct facts lead to false diagnoses. In fact, all “healing phase markers” could be called “vitality markers”.
THE FIFTH BIOLOGICAL LAW
The Quintessence
Every so-called disease has to be understood as part of an evolutionary Meaningful Special Biological Program of Nature.
The 5th biological law is truly the quintessence. It turns the entire concept of medicine on its head. When we look at the three germ layers separately, we realize that they are biologically meaningful and that what we commonly call a “disease” is in fact not a senseless error of Nature that has to be fought but that every disease is a meaningful event. When we realize that so-called diseases are no longer “malignant”, that they no longer have to be understood as a failure of Nature or as God’s punishment but rather as part of a Meaningful Special Biological Program (MSBP) then these MSBPs become exceedingly significant.
Let’s take, for example, adenoid breast cancer with proliferation of breast gland tissue during the conflict active phase. The biological purpose is clearly to aid, for instance, an injured infant by providing more milk. The mother’s organism is trying to cope with the situation. As long as the conflict is active, the tumor will continue to grow to maintain the increased milk production. In this case, the biological meaning lies in the conflict active phase.
In our so-called civilized countries these processes often occur when the woman is not breastfeeding. If a woman who is not nursing suffers a mother/child-worry conflict, the growing breast gland tumor imitates the purpose of wanting-to-provide-more-milk to the baby even if the child is no longer an infant.
This is different from a water- or fluid conflict (new brain mesoderm): during the conflict active phase we observe the necrosis of kidney tissue and elevated blood pressure, which serves the purpose to compensate for the tissue loss in the kidney and thus ensure the elimination of adequate amounts of urine and of urinary substances. During the healing phase a capsule is formed at the site of the necrosis, which is filled with water. This is called a kidney cyst. Inside this cyst a steady cell multiplication process is taking place. At the end of this period, after approx. 9 months, a hard cyst is formed with its own blood supply system. This cyst which started out as a tumor attaching itself to the surrounding tissue eventually becomes detached and participates in the urine production of the kidney. In this case the biological meaning is in the healing phase, i.e. with functional improvement of the tissue involved.
The MSBP has a meaningful biological purpose, or the MSBP is trying to accomplish something that is biologically meaningful. The biological meaning is, as we have seen, either in the conflict active phase or in the healing phase. Mother Nature took the liberty to realize both but always in accordance with the different groups of germ layers.
With cerebrum-controlled carcinoma the biological purpose is in the conflict active phase. Contrary to the cell augmentation of old brain-controlled organs, the cell proliferation that takes place during the healing phase is a repair process during which the lost squamous epithelium tissue is replenished. Since nobody really understood that process, the restitution of the necrotized or ulcerated area during the healing phase was also interpreted as cancer or as a sarcoma.
This explains why we could not understand the true nature of cancer as long as we were unable to understand all these correlations, specifically the evolutionary development of the response programs to our conflicts.
“La medicina sagrada” turns everything around, nothing is correct any more – except the facts. Not only does each MSBP have its specific biological meaning, but the combination of MSBPs, as we see in “Schizophrenic Constellations”, also has a biological purpose, sort of a “meaning beyond the meaning”. This has no transcendental, ideological or spiritual connotation but simply means that in case of a hopeless situation Mother Nature created the possibility to open a new dimension for the individual as a chance to master the difficult situation. The German New Medicine also offers new ways of therapy for mental disorders (psychoses).
The 5th biological law completes the German New Medicine. For the first time we can understand in all modesty not only that all of nature is in order but that every single process in nature has a meaning. We recognize with awe that what we previously called “diseases” are neither senseless errors of Nature, which have to be repaired by sorcerer’s apprentices nor are they malignant or pathological.
THERAPY in the German New Medicine requires common sense. Be it cancer or any other so-called diseases (which I cannot adequately address in this short time), therapy starts with eliminating the patient’s panic by explaining the “context” (the pathogenesis and progression of his disease), something of which he is most likely already aware of. The German New Medicine is diametrically opposed to the therapy of conventional medicine: “There is nothing we can do for you; this has to be treated with radiation or chemo; we have to administer morphine; we have to cut into the healthy tissue.”
Radiation therapy, based on the criteria of the German New Medicine, is totally useless for it is founded on the theory that symptoms have to be eliminated in order to prevent metastases.
Selling chemo treatment as a therapy is most likely the biggest fraud in the entire history of medicine. Whoever masterminded this chemical torture as “therapy” deserves a monument in hell. Chemotherapy, a treatment with cytotoxic agents aimed at preventing cell multiplication, is equal to exorcism. It is well known that these toxins destroy the bone marrow and affect the sexual organs, which may lead to temporary or constant infertility.
The chemo-pseudo-therapy has no effect at all on tumors, which are controlled from the old brain since the cytotoxic drug amplifies the sympathicotonus and therefore actually accelerates cancer growth – which makes the whole procedure outright criminal. With cerebrum-controlled cancers chemotherapy is downright idiotic. Of course, any healing process can be instantly interrupted with chemotherapy (at the expense of deteriorating bone marrow) regardless which part of the brain controls the disease. But the alleged “successes” are the result of a prevention of the healing process, labeled as “malignant” by conventional medical doctors.
With intra-ductal breast cancers, for example, chemotherapy can stop the swelling of the healing breast. Basically, all that stopped was the healing process, based on the illusion to halt the growth of a tumor, which is not even a tumor.
What about the effect of chemotherapy and radiation on the brain?
The special power of our brain to cope with biological conflicts is based on the ability to heal the HH (brain lesion). As we know, the brain is able to do that by creating a brain edema during the healing phase. With the edema the brain cells are stretched, in other words the HH swells up. By applying chemotherapy or radiation the healing process is stopped and the swollen brain area shrivels. The edema disappears but the HH is by no means healed. After the chemo or radiation round is over the organism immediately tries to trigger the healing process again, in other words it starts to re-fill the HH with edematous fluid. With every chemotherapy or radiation treatment the synapses, the connection between nerve cells, stretch and then shrink again. Eventually this initiates the life threatening “accordion effect”. Operations are in the German New Medicine not categorically dismissed. Surgery has to be used with common sense.
Morphine is catastrophic for every patient. Nature has not foreseen such an intervention. Since morphine and its derivatives are available, we think that we can stop the pain and at the same time get healthy. This is a wrong assumption because morphine alters the entire brain, the patient’s morale diminishes and without willpower he lets himself be “put to sleep”.
Medical treatment is not only a domain of conventional medicine. In the German New Medicine medication is used to avoid complications during the natural healing process. All remedies with a positive symptomatic effect should be applied for the benefit of the patient and based on the criterion whether the doctor would administer it to his own wife.
It is self-evident that with the help of the German New Medicine patients who have not yet undergone any treatment have the best chance to complete recovery.
Conventional medicine which has been boasting its supposed scientific merit must take a step back and ask itself if it has not left the path of a true natural science a long time ago. But the very fact that fundamental natural laws are now known for the first time (as they have in other disciplines of natural sciences) would grant medicine a unique chance to become a natural science in the truest sense of the word.
For more information on German New Medicine®: http://LearningGNM.com Caroline Markolin, Ph.D. Approved German New Medicine® Teacher
Closing Remarks
The participants of this congress had good intentions and nominated me for the Prize of Asturia. I am most grateful for the recognition. But an award, my dear friends and former colleagues, always involves two sides: someone who awards the prize and someone who accepts it. However, the Prize of Asturia for Medicine comes with a heavy debt: In April of this year the prize was awarded to Professors Gallo and Montagnier for their “discovery“ of the so-called “AIDS virus“, which in reality does not exist. The presence of an HIV Virus has never been established in AIDS patients. Montagnier himself conceded at a congress in Barcelona 10 years ago that he had never observed the presence of an AIDS virus. Now he is giving the lie to himself and lets himself be awarded.
The main argument against “AIDS“ as a disease in itself are the findings of the Ontogenetic Systems of Tumors and the derived Ontogenetic System of Microbes. Nobody has ever observed typical symptoms after a so-called HIV infection, as are commonly associated with measles and rubella. If a patient tested HIV-negative and if he was taken ill with, for example, cancer, rheumatic fever, sarcoma, pneumonia, diarrhea, tuberculosis, herpes or any other neurological symptoms or disorders, then these would commonly be regarded as normal diseases according to popular opinion. However, if this same patient tested HIV positive, then all these symptoms would be considered malignant “AIDS“ symptoms, or even “AIDS metastases“ pointing to the imminent and agonizing death of this poor “AIDS“ patient. It must have something to do with the patient’s psyche if someone falls seriously ill only after having been told to be HIV-positive.
Has no physician ever been able to fathom what goes on in a patient who is brutally confronted with this devastating diagnosis? And is it not quite strange that “AIDS“, which is thought to be a viral disease, progresses entirely differently from all other viral diseases. Those are commonly considered as overcome in the presence of a positive antibody test result.
You must forgive me, but I am a very practical man. It is certainly interesting to enter into a theoretical discussion of “AIDS“, but in the meantime those poor people are being terrorized and killed by “AIDS“ – exactly as is the case with cancer. Those who do not wish to publicize the true correlations and contexts of cancerous diseases and those who have kept me locked up in jail are the same who masterminded the fatal immunodeficiency disease “AIDS“, conveniently driving a second nail – after cancer – into the coffin of those patients “condemned to death“, and ultimately granting the perpetrators even more power.
Please forgive me, but I feel I am out of place among such a set of scientists. But I do not wish to close all doors – for the benefit of my patients and your patients. After long deliberation I have decided to accept the prize under the following conditions:
1 I will be granted the official permission to practice my profession as a doctor of medicine.
2 More explicitly, this renewed permit will allow me to practice the German New Medicine – a discipline that received 30 official verifications.
My friends and all who know me can attest to the fact that I am neither megalomaniac nor arrogant but rather a humble and kind person. I would therefore consider it the ultimate treason of our patients if I accepted an award for my vanity without ensuring that the conditions of my patients are fully met.
Something must happen now! We all must act! It is the responsibility of us all! Let us rise and work together to put an end to this crime. This is what I ask of you!
© Dr. med. Mag. theol. Ryke Geerd Hamer Amici di Dirk, Ediciones de la Nueva Medicina S.L. Camino Urique 69, Apartado de Correos 209, E-29120 Alhaurin el Grande
German New Medicine
Go to Content









Master PCMH Criteria with Upcoming Webinars







The American Osteopathic Association (AOA) is the representative organization for the over 70,000 osteopathic physicians (DOs) and 18,000 osteopathic medical students in the United States. The organization promotes public health, encourages scientific research, serves as the primary certifying body...







9:55
Daniel Enriquez de Guevara


























.jpg)

















0 comentarios:
Publicar un comentario